
Rtg snímek před ošetřením: nepřesné podkažené korunky, periapikální nálezy na obou zubech („váčky“)

Rtg snímek po demontáži korunek a opětovném ošetření kořenových kanálků

Kontrolní rtg snímek – nové korunky, zhojené periapikální nálezy

Výchozí stav před bělením zubů a před korekcí úsměvu na přání pacientky

Po bělení zubů a zhotovení třech celokeramických fazet a jedné korunky na horní řezáky

OPG snímek při vstupní konzultaci – mnohočetné kazy pod starými nepřesnými výplněmi, periapikální nálezy („váčky“), špatná endodontická ošetření

OPG snímek zhotovený tři roky po skončení sanace – nová endodontická ošetření, nové přesné korunky a můstky, pacientka bez potíží

Podkažená „bílá“ výplň na šestce, nový kaz na sedmičce

Nové fotokompozitní výplně

OPG snímek při vstupní konzultaci – nové kazy a kazy pod starými výplněmi

Kontrolní OPG snímek dva roky po skončení sanace

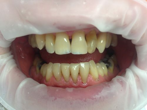
Nadměrně opotřebené zuby kvůli ortodontické anomálii

Přímé kompozitní dostavby po dokončení ortodontické léčby

OPG snímek při vstupní konzultaci – mnohočetné kazy a prokažené kořeny k extrakci

Kontrolní OPG snímek tři roky po skončení sanace – dlouhodobě stabilní výsledek, kost po extrakcích zhojena, kazy opraveny, mezera po extrahované horní čtyřce nahrazena můstkem

Provizorní korunky na horních dvojkách, rozsáhlé kompozitní dostavby jedniček

Defitnitivní celokeramické korunky na dvojkách a jedničkách

Primární kaz na horní šestce

Přístup do kazu

Odstraněný kaz

Fotokompozitní výplň

Rtg snímek před ošetřením horní pětky – nedostatečně ošetřený kořenový kanálek, kaz pod korunkou a nepřesná korunka, podkažená amalgámová výplň na šestce a sedmičce

Rtg snímek po ošetření – nově ošetřené kořenové kanálky, nová přesná korunka na pětce a fotokompozitní výplň na šestce a sedmičce

Rtg snímek po ošetření kořenového kanálku dolní pětky s „váčkem“

Kontrolní rtg snímek po třech měsících - „váček“ zhojený (+ nová fotokompozitní výplň na šestce

Rtg snímek před ošetřením – kazy na pětce a sedmičce a šestka s kazem a gangrénou

Rtg snímek po ošetření – ošetřené kořenové kanálky na šestce a výplně na pětce, šestce a sedmičce